Psyciencia
  • Psyciencia Pro
    • Únete a Psyciencia Pro
    • Inicia sesión
    • Webinars
    • Recursos
    • Tips para terapeutas
    • Watson (podcast)
    • Café (red social)
  • Ciencia
  • Clínica
  • Biografías
  • Recursos
    • NORMAS APA
  • Nosotros
    • Nosotros
    • Uso de IA
    • Publicidad
    • Archivo
Psyciencia
  • Psyciencia Pro
    • Únete a Psyciencia Pro
    • Inicia sesión
    • Webinars
    • Recursos
    • Tips para terapeutas
    • Watson (podcast)
    • Café (red social)
  • Ciencia
  • Clínica
  • Biografías
  • Recursos
    • NORMAS APA
  • Nosotros
    • Nosotros
    • Uso de IA
    • Publicidad
    • Archivo
  • Ciencia

¿Puede el cáncer «proteger» del alzhéimer? Un estudio revela un mecanismo inesperado

  • 03/02/2026
  • Equipo de Redacción

El cáncer y la enfermedad de Alzheimer son dos de los diagnósticos más temidos en medicina, pero rara vez afectan a la misma persona. Durante años, los epidemiólogos han observado que las personas con cáncer parecen tener menos probabilidades de desarrollar alzhéimer, y quienes tienen alzhéimer tienen menos probabilidades de padecer cáncer, pero nadie podía explicar por qué.

Un nuevo estudio en ratones sugiere una posibilidad sorprendente: ciertos cánceres pueden en realidad enviar una señal protectora al cerebro que ayuda a eliminar los grupos de proteínas tóxicas vinculados con la enfermedad de Alzheimer.

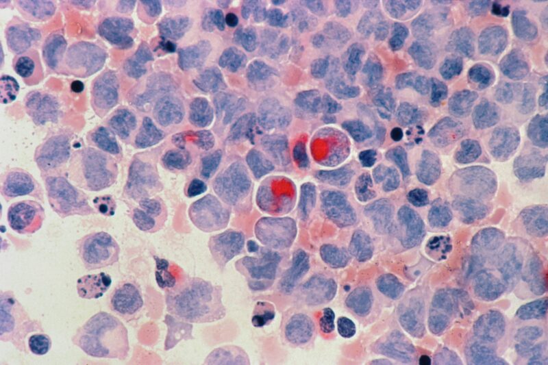
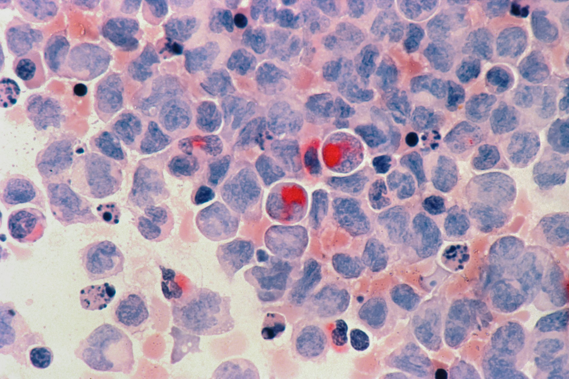
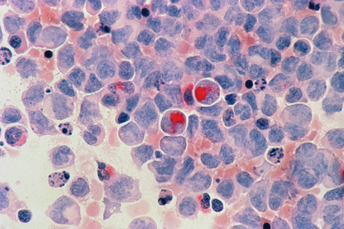
El alzhéimer se caracteriza por depósitos pegajosos de una proteína llamada beta amiloide que se acumulan entre las células nerviosas del cerebro. Estos grupos, o placas, interfieren con la comunicación entre las células nerviosas y desencadenan inflamación y daño que erosiona lentamente la memoria y el pensamiento.

En el nuevo estudio, los científicos implantaron tumores humanos de pulmón, próstata y colon bajo la piel de ratones modificados genéticamente para desarrollar placas amiloides similares a las del alzhéimer. Si se dejan solos, estos animales desarrollan de manera confiable grupos densos de beta amiloide en sus cerebros a medida que envejecen, reflejando una característica clave de la enfermedad humana.

CETECIC
Patrocinado Por
CETECIC
CETECIC: Especialízate en el tratamiento del trastorno de pánico y agorafobia con los mejores.

Pero cuando los ratones portaban tumores, sus cerebros dejaron de acumular las placas habituales. En algunos experimentos, la memoria de los animales también mejoró en comparación con los ratones modelo de alzhéimer sin tumores, lo que sugiere que el cambio no solo era visible bajo el microscopio.

El equipo rastreó este efecto a una proteína llamada cistatina C que estaba siendo bombeada por los tumores hacia el torrente sanguíneo. El nuevo estudio sugiere que, al menos en ratones, la cistatina C liberada por los tumores puede cruzar la barrera hematoencefálica, la frontera normalmente hermética que protege al cerebro de muchas sustancias en la circulación.

Una vez dentro del cerebro, la cistatina C parece adherirse a pequeños grupos de beta amiloide y marcarlos para su destrucción por las células inmunitarias residentes del cerebro, llamadas microglía. Estas células actúan como el equipo de limpieza del cerebro, patrullando constantemente en busca de desechos y proteínas mal plegadas.

En el alzhéimer, la microglía parece quedarse atrás, permitiendo que el beta amiloide se acumule y endurezca en placas. En los ratones portadores de tumores, la cistatina C activó un sensor en la microglía conocido como Trem2, cambiándolas efectivamente a un estado más agresivo de eliminación de placas.

Intercambios sorprendentes

A primera vista, la idea de que un cáncer pueda «ayudar» a proteger el cerebro de la demencia suena casi perversa. Sin embargo, la biología a menudo funciona a través de intercambios, donde un proceso que es dañino en un contexto puede ser beneficioso en otro.

En este caso, la secreción de cistatina C por parte del tumor puede ser un efecto secundario de su propia biología que resulta tener una consecuencia útil para la capacidad del cerebro de manejar proteínas mal plegadas. No significa que tener cáncer sea bueno, pero sí revela una vía que los científicos podrían aprovechar de manera más segura.

El estudio encaja en un creciente cuerpo de investigación que sugiere que la relación entre el cáncer y las enfermedades neurodegenerativas es más que una peculiaridad estadística. Grandes estudios poblacionales han reportado que las personas con alzhéimer tienen significativamente menos probabilidades de ser diagnosticadas con cáncer, y viceversa, incluso después de tener en cuenta la edad y otros factores de salud.

Esto ha llevado a la idea de un balancín biológico, donde los mecanismos que impulsan a las células hacia la supervivencia y el crecimiento, como en el cáncer, pueden alejarlas de las vías que conducen a la degeneración cerebral. La historia de la cistatina C agrega un mecanismo físico a ese panorama.

Sin embargo, la investigación es en ratones, no en humanos, y esa distinción importa. Los modelos de alzhéimer en ratones capturan algunas características de la enfermedad, particularmente las placas amiloides, pero no reproducen completamente la complejidad de la demencia humana.

Tampoco sabemos todavía si los cánceres humanos en pacientes reales producen suficiente cistatina C, o la envían al cerebro de la misma manera, como para tener efectos significativos en el riesgo de enfermedad de Alzheimer. Aun así, el descubrimiento abre posibilidades intrigantes para futuras estrategias de tratamiento.

Una idea es desarrollar fármacos o terapias que imiten las acciones beneficiosas de la cistatina C sin involucrar un tumor en absoluto. Eso podría significar versiones modificadas de la proteína diseñadas para unirse al beta amiloide de manera más efectiva, o moléculas que activen la misma vía en la microglía para aumentar su capacidad de limpieza.

La investigación también resalta cuán interconectadas pueden estar las enfermedades, incluso cuando afectan órganos muy diferentes. Un tumor que crece en el pulmón o el colon puede parecer muy alejado de la lenta acumulación de depósitos de proteínas en el cerebro, sin embargo, las moléculas liberadas por ese tumor pueden viajar a través del torrente sanguíneo, cruzar barreras protectoras y cambiar el comportamiento de las células cerebrales.

Para las personas que viven con cáncer o cuidan a alguien con alzhéimer hoy, este trabajo no cambiará el tratamiento de inmediato. Pero el estudio sí ofrece un mensaje más esperanzador: al estudiar en profundidad incluso enfermedades graves como el cáncer, los científicos pueden tropezar con hallazgos inesperados que apuntan hacia nuevas formas de mantener el cerebro sano en la vejez.

Quizás la lección más sorprendente es que las defensas y fallas del cuerpo rara vez son simples. Una proteína que contribuye a la enfermedad en un órgano puede ser utilizada como una herramienta de limpieza en otro, y al comprender estos trucos, los investigadores pueden ser capaces de usarlos de manera segura para ayudar a proteger el cerebro humano envejecido.

Artículo publicado en The Conversation y cedido para su republicación en Psyciencia.

  • Comparte en Facebook (Se abre en una ventana nueva) Facebook
  • Compartir en WhatsApp (Se abre en una ventana nueva) WhatsApp
  • Enviar un enlace a un amigo por correo electrónico (Se abre en una ventana nueva) Correo electrónico
  • Compartir en Threads (Se abre en una ventana nueva) Threads
  • Compartir en LinkedIn (Se abre en una ventana nueva) LinkedIn
  • Compartir en X (Se abre en una ventana nueva) X

Relacionado

Equipo de Redacción

Equipo editorial de Psyciencia.com

Temas relacionados
  • Alzheimer
  • Cancer
  • Neurociencias

Psyciencia Pro

Para psicólogos que disfrutan aprender y quieren ejercer con la mejor evidencia. Hoy, a mitad de precio.

50% de descuento
Más info

Psyciencia Pro

EXCLUSIVO

Carta a una relación (hoja de trabajo)

sábado, 16 de mayo 2026

Autismo en mujeres: el elefante en la sala (webinar)

miércoles, 13 de mayo 2026

Cuando la mente vuelve al pasado: manejo de la rumia y los pensamientos traumáticos

miércoles, 6 de mayo 2026

Ver todo

Webinars

FORMACIÓN

Autismo en mujeres: el elefante en la sala (webinar)

miércoles, 13 de mayo 2026

Psicoterapia con población LGTBIQ+ (webinar)

lunes, 9 de marzo 2026

Cómo crear tu página web de psicología con IA en 90 minutos (webinar)

lunes, 16 de febrero 2026

Ver todo

Opinión

OP-ED

Leer y jugar videojuegos cambiaron mi vida

jueves, 14 de mayo 2026

Ya no digo que soy psicólogo, digo que soy contador

martes, 5 de mayo 2026

Trabajar aunque nadie esté mirando

lunes, 27 de abril 2026

Ver todo

Tips para psicoterapeutas

ARTÍCULOS

Cómo interrumpir a tus pacientes sin romper el vínculo

martes, 24 de junio 2025

Cuando el paciente habla al final: cómo manejar los comentarios de última hora en terapia

miércoles, 21 de mayo 2025

Cómo ayudar a los pacientes cuando experimentan mucha ansiedad y desregulación en la sesión

martes, 11 de febrero 2025

Ver todo
Psyciencia
  • Contáctanos
  • Publicidad
  • Nosotros
  • Publica
Psicologia y neurociencias en español todos los días

Ingresa las palabras de la búsqueda y presiona Enter.